Unlocking Fatty Liver: Your CT Scan Guide

P.Educativa 38 views
Unlocking Fatty Liver: Your CT Scan Guide

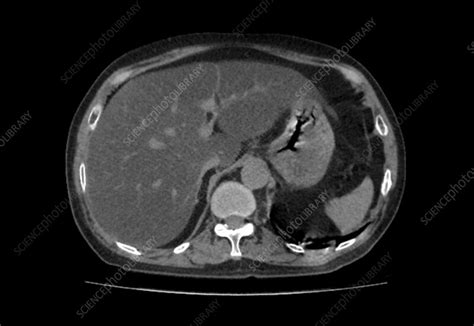
Unlocking Fatty Liver: Your CT Scan Guide Hey guys, ever heard the phrase ‘fatty liver’ and wondered what it truly means, especially when your doctor mentions a CT scan ? You’re definitely not alone! It’s a super common condition, often silent and sneaky, but understanding it is a huge step towards better health. Think of your liver as one of your body’s unsung heroes – it’s always busy detoxifying, producing proteins, and helping with digestion. When it starts accumulating too much fat, that’s when we call it fatty infiltration of the liver , or medically, hepatic steatosis . It’s a condition that can range from a mild, almost harmless state to something more serious if left unchecked, potentially progressing to inflammation, scarring, and even cirrhosis . That’s why getting a clear diagnosis and understanding what’s going on inside is so important. And this is where a CT scan really shines as a key diagnostic tool. This article is all about demystifying the CT scan process, explaining what your doctor is looking for, and helping you understand what your results might mean. We’ll dive into the nitty-gritty of how these scans work to detect fatty liver , what those fancy medical terms like ‘Hounsfield Units’ actually refer to, and why a comparison to your spleen might be relevant. Our goal here is to empower you with knowledge, making sure you feel informed and ready to discuss your liver health with your healthcare provider. So, let’s pull back the curtain on fatty liver and CT scans together, ensuring you have the lowdown on taking control of your well-being. Getting to grips with how medical imaging can reveal important insights about your internal organs, especially something as vital as your liver, is incredibly beneficial for anyone navigating their health journey. We’re going to break down complex medical jargon into easy-to-digest info, making sure you feel confident and prepared for those conversations with your doctor. Understanding the diagnostic tools available, like the CT scan , can truly make a difference in how you approach your overall liver health and the steps you take towards a healthier future. So buckle up, because we’re about to make understanding your liver and its health a whole lot clearer! We’ll cover everything from what causes fatty liver to what you can do about it, all through the lens of how a CT scan helps paint that crucial picture. This journey of understanding begins now, and it’s all about equipping you with the best information to advocate for your own health. Ready? Let’s go! # What Exactly is Fatty Liver, Anyway?Alright, let’s start with the basics. What exactly is fatty liver , also known as hepatic steatosis ? Simply put, it’s a condition where too much fat builds up in your liver cells. Now, having a tiny bit of fat in your liver is totally normal, guys. Your liver is a busy organ, involved in practically everything from processing nutrients to filtering toxins. However, when fat accounts for more than 5-10% of your liver’s weight, that’s when we officially call it fatty infiltration of the liver . This isn’t just some abstract medical term; it represents a real change in how your liver functions and looks. The scary part? Often, fatty liver doesn’t cause any noticeable symptoms in its early stages. You might not feel a thing, which is why it’s sometimes called a silent disease. But don’t let its quiet nature fool you; it’s a condition that warrants attention. There are two main types of fatty liver : alcoholic fatty liver disease (AFLD), caused by heavy alcohol consumption, and non-alcoholic fatty liver disease (NAFLD), which, as the name suggests, isn’t linked to alcohol. NAFLD is incredibly common, affecting about one-quarter of the global population, and its prevalence is rising rapidly alongside rates of obesity, type 2 diabetes, and metabolic syndrome. If you’ve ever heard of conditions like high blood pressure, high cholesterol, or insulin resistance, these are often buddy-buddy with NAFLD. The progression of NAFLD can be concerning. While simple fatty liver (steatosis) is generally considered benign, it can progress to non-alcoholic steatohepatitis (NASH), where inflammation and liver cell damage occur alongside the fat. This inflammation can lead to fibrosis (scarring), which, if severe enough, can turn into cirrhosis – a serious, irreversible form of liver damage that can impair liver function and even lead to liver failure or liver cancer. Understanding this potential progression is crucial for appreciating why early detection and management of fatty infiltration of the liver are so vital. It’s not just about seeing fat; it’s about preventing a cascade of more severe liver disease . This understanding sets the stage for why tools like the CT scan are so important in diagnosing and monitoring this condition. We’re talking about taking proactive steps to safeguard one of your most critical organs, and it all starts with recognizing what fatty liver is and why it matters to your overall health. It’s truly a journey towards better liver health , and knowing the enemy is the first step in winning the battle. So, when your doctor mentions fatty liver , remember it’s a signal to pay attention to your lifestyle and well-being. # The Role of CT Scans in Diagnosing Fatty Liver Okay, so we know what fatty liver is. Now, let’s talk about how we actually see it. This is where the mighty CT scan comes into play. You might be wondering,