Aphasia: Understanding A Complex Neurological Condition

P.Educativa 8 views
Aphasia: Understanding A Complex Neurological Condition

Aphasia: Understanding a Complex Neurological Condition

Hey everyone! Today, we’re diving deep into a topic that might sound a bit intimidating at first, but understanding it can be incredibly helpful, especially if you or someone you know is affected. We’re talking about aphasia . You might have heard the term, but what exactly is it? In simple terms, aphasia is a condition that affects a person’s ability to communicate. It’s not about intelligence; it’s about the brain’s language centers being impacted, usually due to damage like a stroke or head injury. Think of it as a breakdown in the system that allows us to understand and produce language. This can manifest in various ways, making speaking, understanding spoken words, reading, or writing a challenge. It’s a journey that requires patience, support, and a lot of understanding from everyone involved. We’ll explore the different types of aphasia, its causes, and most importantly, how individuals can adapt and thrive despite this condition. So, grab a cuppa, and let’s get into it!

What Exactly is Aphasia?

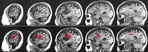
Alright guys, let’s break down aphasia in more detail. So, aphasia isn’t just one single thing; it’s a spectrum of language disorders. The core issue is that the brain’s ability to process language has been disrupted. This usually happens when there’s damage to specific areas of the brain, most commonly the left hemisphere, which is dominant for language in most people. The most frequent culprit behind this damage is a stroke , where blood flow to a part of the brain is interrupted, causing brain cells to die. Other causes can include traumatic brain injuries (like from a car accident or a fall), brain tumors, infections, or even progressive neurological diseases like dementia. The specific type and severity of aphasia depend heavily on the location and extent of the brain damage. It’s crucial to remember that aphasia does not affect a person’s intellect. Someone with aphasia can still think, reason, and feel emotions just as they did before. The difficulty lies purely in the expression and comprehension of language. This is a really important distinction to make because it can be disheartening when people wrongly assume aphasia means a loss of cognitive abilities. The frustration for individuals with aphasia often stems from this very misunderstanding. They might know what they want to say, but the words just won’t come out, or they might struggle to grasp what others are saying, even though their hearing is perfectly fine. It’s like having a word on the tip of your tongue, but it’s permanently stuck there. This can lead to significant emotional distress, isolation, and a feeling of being disconnected from the world. Understanding these nuances is the first step towards providing effective support and fostering an environment where communication, in whatever form it takes, can flourish.

Causes of Aphasia: What’s Going On?

So, how does aphasia actually happen? The main reason, as we touched upon, is damage to the brain’s language areas . Let’s chat about the most common causes. Strokes are the big one, guys. They happen when blood supply to a part of the brain is cut off (ischemic stroke) or when a blood vessel bursts in the brain (hemorrhagic stroke). These events can quickly damage brain cells, and if those cells are involved in language processing, aphasia can result. Think about it: the brain is incredibly complex, with different regions specializing in different tasks. The parts responsible for understanding grammar, retrieving words, forming sentences, and interpreting meaning are all susceptible to stroke damage. Following stroke, it’s common for people to experience aphasia, and the type can vary widely. Another major cause is traumatic brain injury (TBI) . This can result from a blow to the head, a fall, or any incident where the brain experiences sudden, forceful movement. TBIs can cause widespread damage, and if the language centers are hit, aphasia is a likely outcome. This is why proper safety measures, like wearing helmets, are so important! Brain tumors can also lead to aphasia. As a tumor grows, it can press on or invade brain tissue, disrupting normal function. If the tumor is located in or near the language areas, it can impair communication. Similarly, brain infections , such as encephalitis (inflammation of the brain), can cause swelling and damage that affects language abilities. Less commonly, but still a possibility, are progressive neurological conditions . Diseases like Alzheimer’s disease and other forms of dementia can gradually damage brain cells over time, and as the disease progresses, it can impact language skills, leading to various forms of aphasia. It’s also worth noting that aneurysms (weakened spots in blood vessel walls) or arteriovenous malformations (AVMs) (abnormal tangles of blood vessels) in the brain can rupture, leading to bleeding and subsequent aphasia. The key takeaway here is that anything that disrupts the normal functioning of the brain’s language network can potentially lead to aphasia. Understanding these causes helps us appreciate the vulnerability of our brain and the importance of seeking prompt medical attention if any of these events occur.

Types of Aphasia: It’s Not One-Size-Fits-All

Now, let’s get into the nitty-gritty of aphasia types. It’s super important to know that aphasia isn’t a single condition; it presents in different forms, each with its own set of challenges. The classification usually depends on which part of the brain is affected and how it impacts both expressive (speaking/writing) and receptive (understanding/reading) language. We’ve got the big players here, and understanding them can really help in recognizing the specific difficulties someone might be facing. First up, we have Broca’s aphasia , often called expressive or non-fluent aphasia. People with this type usually understand language pretty well, but they have a really hard time producing it. Their speech might be slow, effortful, and often consists of short, broken phrases. They might omit small words like ‘the’ or ‘is’, making their sentences sound like telegraphic messages. It’s like they have the words in their head but struggle immensely to get them out. Then there’s Wernicke’s aphasia , also known as receptive or fluent aphasia. This is the flip side. People with Wernicke’s aphasia can speak fluently, but their words often don’t make sense. They might produce long, rambling sentences filled with made-up words (neologisms) or incorrect words (paraphasias). They often have significant difficulty understanding spoken or written language, and they may not even be aware that what they’re saying is nonsensical. It’s a really disorienting experience for them. We also have global aphasia , which is the most severe form. This occurs when there’s extensive damage to the language areas of the brain. Individuals with global aphasia have severe impairments in both speaking and understanding language. Their ability to read and write is also greatly affected. Communication can be extremely limited, making everyday interactions a significant hurdle. Then there are other types, like anomic aphasia , where the main problem is finding the right words. People with anomic aphasia can speak fluently and understand language well, but they struggle with word retrieval, often pausing frequently or using general words like ‘thing’ instead of specific nouns. Conduction aphasia is another interesting one where individuals have difficulty repeating words or sentences, even though their comprehension and spontaneous speech might be relatively intact. Finally, transcortical aphasia includes subtypes (sensory, motor, mixed) that affect specific aspects of language production and comprehension while preserving other abilities, like the capacity to repeat. Recognizing these different types is key for tailoring therapy and support to meet the unique needs of each individual affected by aphasia.

Living with Aphasia: Strategies and Support

Living with aphasia can be a rollercoaster, guys, but there are absolutely ways to navigate it and still live a fulfilling life. The key is support, patience, and the right strategies . For individuals with aphasia, communication is paramount. Speech-language pathologists (SLPs) are your superheroes here. They work with individuals to improve their communication abilities through various therapies. This might involve exercises to strengthen language skills, learning alternative communication methods, or using assistive technology. Alternative and Augmentative Communication (AAC) devices can be lifesavers! These range from simple picture boards and communication books to sophisticated electronic devices that can speak words or phrases when a button is pressed. Learning to use these tools can empower individuals with aphasia to express their needs, thoughts, and feelings more effectively. Support groups are also incredibly valuable. Connecting with others who understand the daily challenges of aphasia can reduce feelings of isolation and provide a sense of community. Sharing experiences and coping strategies can be immensely beneficial. For family members and friends, understanding is the biggest gift you can give. Be patient . Give the person with aphasia enough time to express themselves. Don’t interrupt or finish their sentences unless they indicate they want help. Simplify your language but don’t talk down to them. Speak clearly and at a normal pace. Use gestures, facial expressions, and visual aids to support your communication. Write down key words if necessary. Listen actively and be attentive to non-verbal cues. Sometimes, a nod, a gesture, or even just the look in their eyes can convey a lot. Educate yourself and others about aphasia. The more people understand, the more compassionate and helpful they can be. It’s also important to encourage participation in activities they enjoy. Aphasia shouldn’t stop someone from engaging with their hobbies or social life. Adaptations might be needed, but participation is vital for well-being and maintaining connections. Remember, recovery and adaptation are possible, and with the right support system, individuals with aphasia can continue to communicate, connect, and thrive. It’s about finding new ways to express oneself and ensuring that their voice is heard and valued.

The Role of Pine Grove in Understanding Aphasia

Now, you might be wondering,